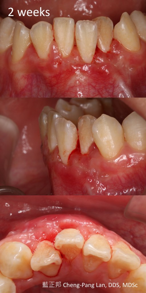
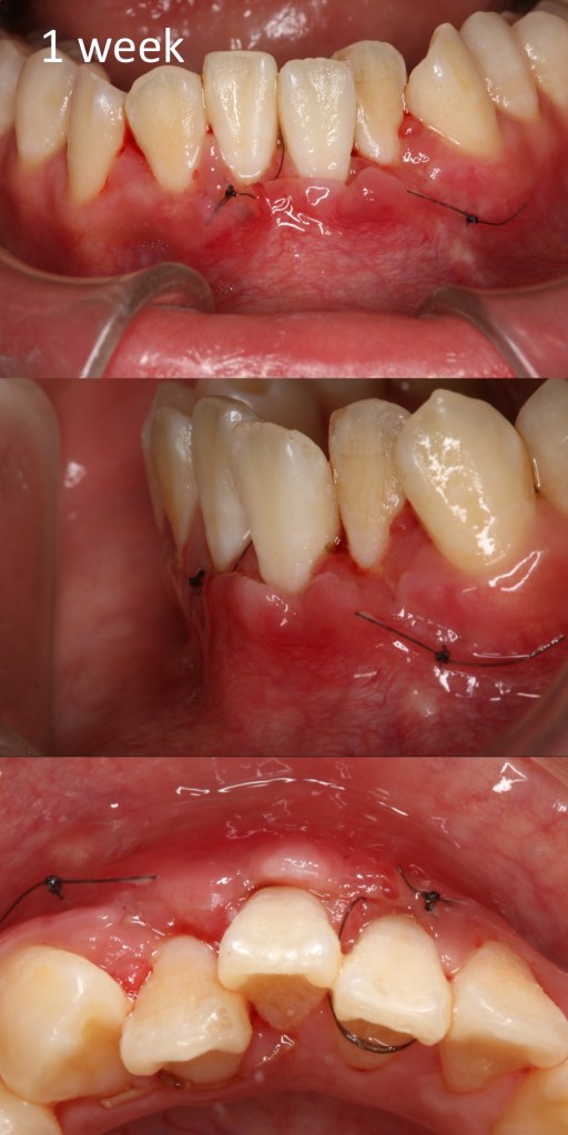
Root Coverage – Coronally Advanced Flap with Connective Tissue Graft -Lower Anterior Teeth – Case D Posted on April 23, 2020 by drlan Share this: Share on Facebook (Opens in new window) Facebook More Email a link to a friend (Opens in new window) Email Share on X (Opens in new window) X Share on Pinterest (Opens in new window) Pinterest Share on Tumblr (Opens in new window) Tumblr Like Loading...