牙周、矯正與假牙專科協同治療-Teamwork

六年追蹤

這個案例,最早沒把握能救回來,但是做完非手術治療,發現恢復非常好。

於是大膽地請矯正與假牙專科醫師一起幫忙完成。其實病人本身也同意,若途中狀況不好,還是得拔除。我知道這種案例,其實對其他專科來說,可能是有壓力的,不容易處理,也是難症。

好佳在,兩位神隊友都完成了,非常感謝合作專科的信任,還有,病患六年來維持得非常好,目前囊袋正常、零出血、零發炎。

回頭看,一開始就拔掉牙齒,改走其他路線,或許也可以,每位醫師選擇的或許不一樣,並沒有標準答案。

但是,能幫病患留下自己的牙齒,真的是很開心的一件事~~

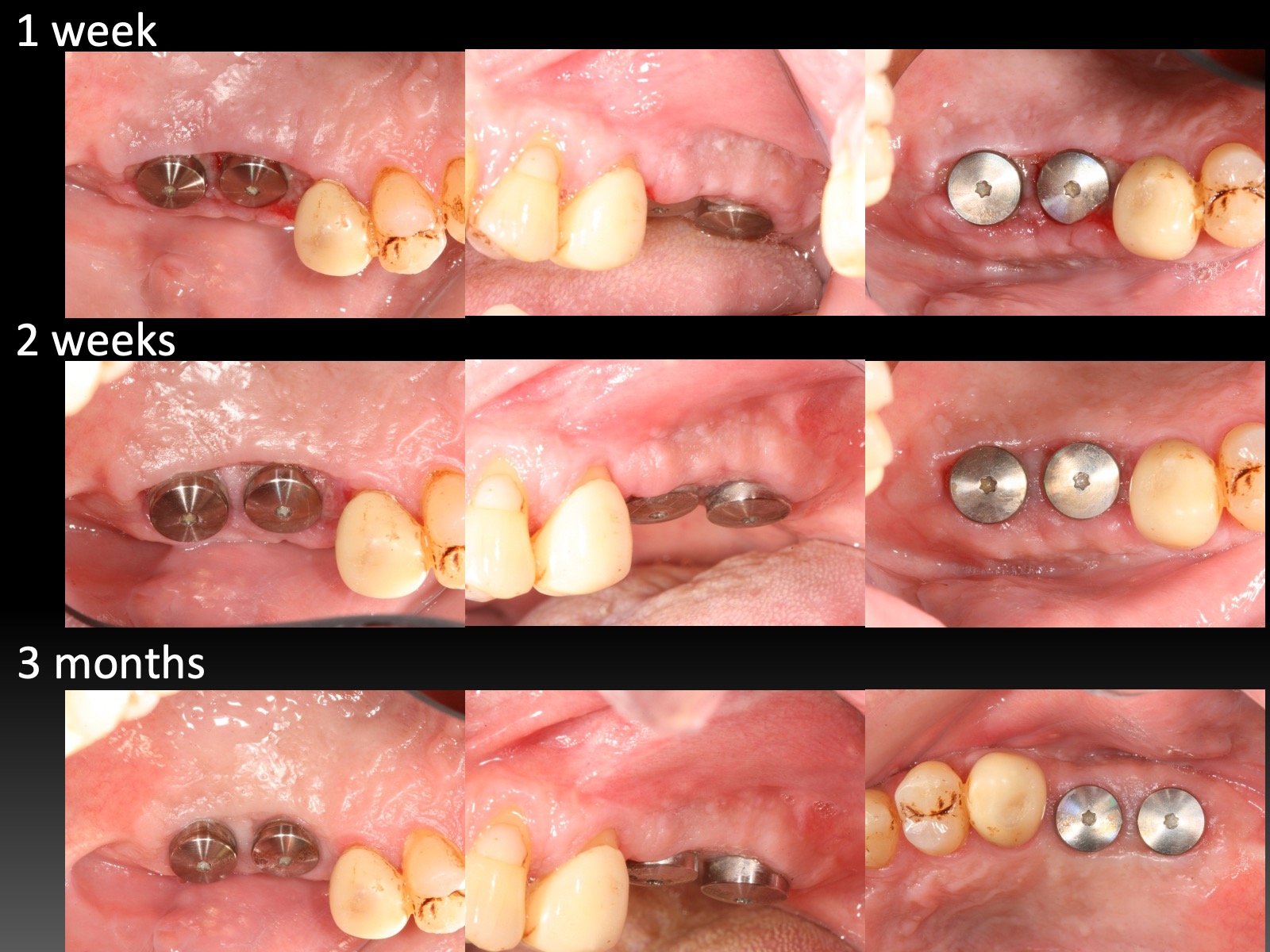
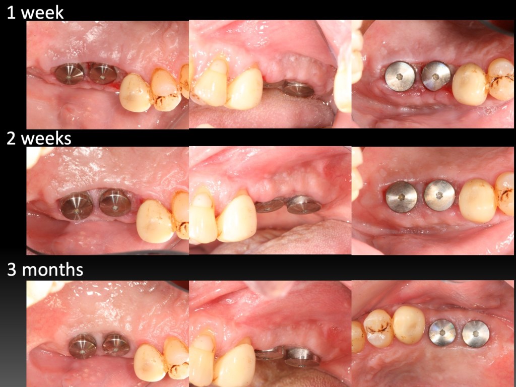
長期追蹤觀察:增加植體角化上皮 Long-term Follow Up of Increase Keratinized Mucosa Around Implant

因為幫學會上課,藉由這次機會,整理了五個長期案例,至少八年到十二年的追蹤。觀察照片,移植角化上皮,經過長年觀察,粗略估計,一年後就很穩定,且多年後,萎縮量沒有很多,蠻平穩的。

以前台大老師有提過,時間久了,可能會因為肌肉層附連拉扯,即使補的寬度多很多,前後MGJ的連線還是會呈現一直線,原有多補的會縮一些回去。不過,我自己的案例,例如Case D,經過九年後,角化上皮還是很寬,呈現前後連線不是很一致的狀態。有這些發現,其實蠻有意思的~

讀者若有些想法或經驗分享,歡迎在文章最後面留言。

Elon Musk 馬斯克傳 2023 版與2015版讀後感

馬斯克傳有兩本,2015年出版的鋼鐵人—馬斯克,作者Ashlee Vance,約四百頁。當年好奇,電影中的鋼鐵人,真實人物是什麼樣子。一看完就很喜歡這種天才、熱愛冒險、個性又具爭議的人物。

另一本,消息一出自己很興奮地就預購,中文版第一波七五折拿到,更厚兩倍,八百多頁,作者是曾經寫過賈伯斯傳的作家Walter Isaacson。

雖然馬斯克最早拒絕Ashlee Vance的採訪,但是最後都同意兩位作家,親自採訪馬斯克身邊的家人、朋友、與事業夥伴,甚至曾翻臉的合夥人。Walter Isaacon更是深入馬斯克SpaceX、Tesla、Twitter各企業的核心會議。

2023年版的傳記,與2015年版的有什麼不同呢?

2023年版的傳記,後面六成的篇幅,剛好銜接2016年之後發生的事,例如Neurolink、Starlink 、Starship計畫、成為全球首富、收購推特等,想了解收購推特中間發生了什麼事,以及馬斯克買下推特後,如何砍了80%的員工,留下他們認為優秀的20%,背後的故事很有意思。

2023年版,或許馬斯克願意對Walter Isaacson分享內心話,因此描繪比較多馬斯克經營事業之下,心裡的掙扎與恐懼。新版童年的故事比較豐富,以及探究小時候父母對馬斯克的影響。2015年的版本,反而當年馬斯克不願意談太多關於父親的事。

很少見地揭露內心感受

個人生活,2023年版也比較多,生了十個孩子、曾經談過的戀情、當年被趕出Paypal後,玩快打旋風遊戲來舒壓等等。

如果讀者對於Tesla 、SpaceX很有興趣,2015年版的傳記,比較詳細一些。尤其是Tesla設計電動車的理念與想法,還有Roadster、Model S、Model X早期是如何從零開始。已經擁有特斯拉的自己,更可以體會電動車設計者,當年要傳達給使用者的感覺是什麼。

看完馬斯克傳,對我有什麼收穫?

如果不想花時間看這麼多文字,其實網路上的梗文有整理。基本只有一個模式在循環:馬斯克有一個新想法—找人來做—不順利—馬斯克睡辦公室—開除員工—設定匪夷所思的期限—逼瘋所有人—所有人振作——偉大的成功—馬斯克感到沮喪抑鬱—交了一個新女友—馬斯克有一個新想法⋯⋯。如果只想要速讀傳記,上面這樣就夠了。

但是,兩本馬斯克傳實際上給我的感受:一位童年創傷,南非長大,18歲單獨離家到加拿大生活,到美國創立Zip2與Paypal,不到三十歲成為億萬富翁。

雖然被罷免而離開paypal,但是他並沒有就因此安逸享樂,反而拿自己所有身家,創立SpaceX 與Tesla,只想完成移民火星、存續人類意識與永續能源的夢想。

時時刻刻感到急迫要完成任務的使命,比任何人都強烈。天天工作超過十二小時,同時待人也非常嚴厲、聽不進反對的聲音、四周人不敢對他報告壞消息、沒有同理心,有超乎想像的直覺可以決定複雜的運算、把所有賭注都押下去等等。

其中馬斯克的演算法,更是讓我腦洞大開:

  1. 質疑每一項要求。來自任何部門的要求,不管這個人有多聰明,都要提出質疑
  2. 如果可以,刪除任何零組件或流程。
  3. 簡化與優化。完成第二步驟後,才能簡化。常見的錯誤是簡化本來就不應該存在的零組件或流程
  4. 縮短週期。流程都應該縮時間,前提是必須完成前三步驟。特斯拉的工廠,我的錯誤就是花太多時間加快流程,但後來發現流程根本應刪除。
  5. 自動化。馬斯克曾經在內華達與佛利蒙工廠犯的錯誤。應該所有要求被質疑後,再刪除、簡化、縮短時間後,再開始自動化。

這個不怕犯錯的態度,每當我開特斯拉,好像隱約也這種感覺。特斯拉的軟體非常簡約且先進、我認為是其他車廠跟不上的藝術品。但是每次使用,總覺得似乎都在beta測試版~~我不是說有臭蟲問題,而是使用者介面、功能,有時自己也說不出來的不足,但是幾個月後的更新,就會提升很多,彌補了不少。之後,再一段時間,又會感到有些不足,下次更新,很巧地,又再次改善了不少。

「從錯誤中鍛造而成的」正是書中一段我很喜歡的段落。

回想自己的個性,覺得過於謹慎而不敢冒險,不敢犯錯,看了馬斯克的故事,不禁想一想:

「自己能不能更有勇氣,多嘗試不同的挑戰,即使失敗了,又怎樣呢?」

「有什麼理想願景,能幫助大家,改變世界呢?」

手術模擬

以前多顆牙的補骨手術,都看著電腦斷層,藉由三視圖,腦中重組手術可能看到的畫面,這個方式很消耗腦力,手術臨場感也低。

之前台大學弟拿3D列印的齒槽骨,找我討論手術計畫,雖然我年資比較深,反倒是自己學到很多。於是也試著把案例,3D列印出來,做手術模擬。

拿任何可塑形的軟蠟、黏土,當作骨粉,先堆出理想植牙的骨量,拿消毒紙,或接近再生膜性質的替代品,模擬裁剪不可吸收再生膜。

這順序很重要。以前手術比較急躁,先剪再生膜,放骨粉後,才發現再生膜大小不夠。能事先手術模擬,紙片可以隨意挑選大小,無限制地剪裁,再送進消毒鍋,手術當天就可以照這樣剪。甚至,拿過期的再生膜,更可以模擬內部鈦金屬支架的位置,事先彎曲好,放在3D列印材料上,研究釘子的位置。

我的YouTube影片裡有提到,不可吸收再生膜需要「Passive Fit」,減少後續併發症。如果不夠passive fit,金屬支架的內部應力一多,釘子可能會鬆脫,造成補骨區域「固定」不足,骨生長就不是很順利了。

手術模擬的同時,打開教科書,兩本Urban‘s Vertical Ridge AugmentationGrunder’s Implant in the Esthetic Zone,看看大師們怎麼擺放再生膜,讓自己更貼近他們一點。

手術模擬的同時,也請跟刀助理,一起準備手術流程,尤其是釘釘子的手勢與節奏,讓團隊提早進入手術狀態。

經過如此的演練,我發現到,手術前的焦慮感降低不少,同時,實際手術時間更快,手術後的踏實感也有增加喔~~

牙根整平前,都再測囊袋嗎?回診多久牙周探測一次?When or How to Use Periodontal Probe?

「請問,每次牙根整平前,都再測一次該區域的囊袋嗎?」

「學長,請問牙周定期回診的病人,你多久測一次囊袋?」

使用Probe牙周探針,有三層次

●初學看刻度記數字

●中階觸感牙根粗糙度

●進階感受牙肉緊實度

讓我解釋一下:

實習時,摸索探針角度與力量,看刻度測數字。我甚至還記得,十五年前,主治醫師幫我檢查病患,當時菜鳥的我,很多有問題的囊袋都沒測出來,非常糗。

接下來專科訓練時,認真做牙根整平,才知道資深醫師說的《用探針當眼睛》的意思。輕柔地使用探針,才能分辨到底有沒有清乾淨。這個技巧,我自己花了三年每天做,才有一點心得。多年後,換了角色,自己兼任主治幾年後,發現更優秀的年輕醫生,可以在兩年內練出很棒的功力。

執業久了,一定累積了不少回診的病患,定期保養的特色,是針對低度發炎的區域,可能伴隨好幾年而來的高低起伏。這時候,要維持高品質的牙周回診,不能只十分鐘洗牙,打發走而已。

單一的測量指標已不是很足夠,需要綜合不同指數,監控回診病情。像是很基本的血糖、抽菸指標,口內菌斑、牙齦顏色、質地、探測出血與否,甚至更仔細一點,在使用牙周探針同時,還可以感受牙肉緊實度,來分辨當下發炎指數。多重測量,多重評斷,才可能做到高品質牙周治療。

回到問題本身,多久測一次?什麼時候要測?我會說,看目的是什麼。健保交作業,回診一年測一次。這樣夠嗎?

要對病患有幫助,有價值的治療,醫師就要好好診斷檢查,探針還是要常用,不嫌麻煩的啦~~

12 Years of Lateral-window Sinus Lift

2010年,台大第二年剛開始。這是我第一台鼻竇開窗手術,還記得很快地用骨刀切割,順利進入鼻竇。

但是翻到後面,遇到困難,只翻一半就遇到瓶頸,由台大老師接手翻完,之後回到我再放入材料並縫合。

這十二年來,口內狀態,加上X光檢查,一直都算穩定。但是回顧起來,病患其實血糖不低,加上抽菸,危險因子算多了。

如果其他的病患,危險因子一旦多,牙周穩定性會明顯變差,至少這個病患到現在為止還沒有。

到底是運氣好呢?還是有其他未知因素影響?又或許位於常態分佈—鐘型曲線兩端的極少數族群?

我也不知道。至少第一台十二年來慶祝一下~~

回顧還發現,其實第一次做開窗就用手繪圖了,有興趣如何準備開窗手術的初學者,我寫了一篇在這裡

感動

前天看一位新病患,簡單的看診都很緊張。我暫停讓她坐起來,詢問以往看診經驗,慢慢聊,讓她放鬆一點。

後來,她說朋友介紹的,而且她朋友還在網路上留言,特別找截圖出來給我看。

感謝病患的鼓勵,自己除了把牙周專科內的事做好之外,看GP這樣的工作,會面對更多挑戰,也很需要病患的支持。

每次聽病患說改善了,不論是病情、心情方面,都讓我覺得一切都是值得的,工作起來特別有動力呢!~~

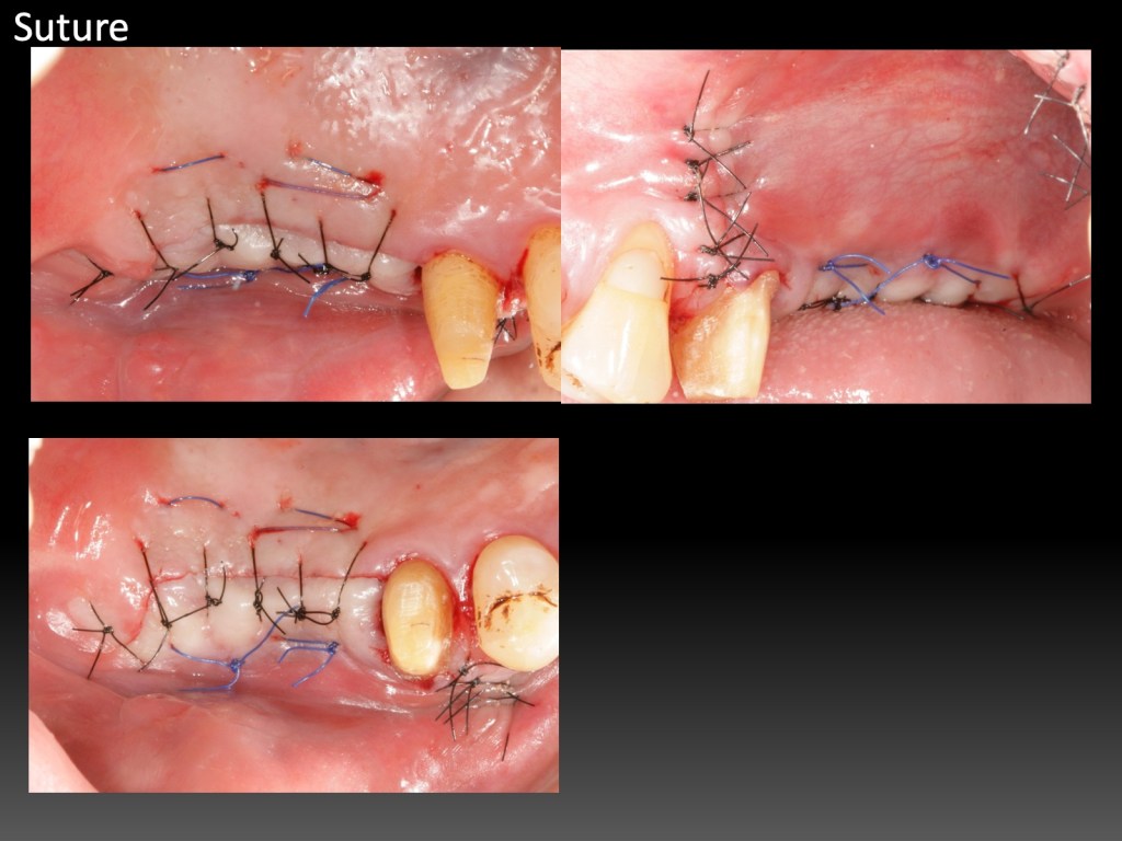
Increase Keratinized Tissue of Lingual Aspect 增加舌側角化組織

GBR的舌側提升,會讓內側角化組織變少,或是,案例即使沒補骨,原本就舌側角化組織缺乏。這幾年自己也想解決這個難題。試了幾個不同做法,有一些心得。

一開始的Partial Thickness皮瓣移動,只須刀片劃開表層,其餘用鈍器械推下去。跟Tension free flap release這篇的手法類似。意即,切得少,推得多。

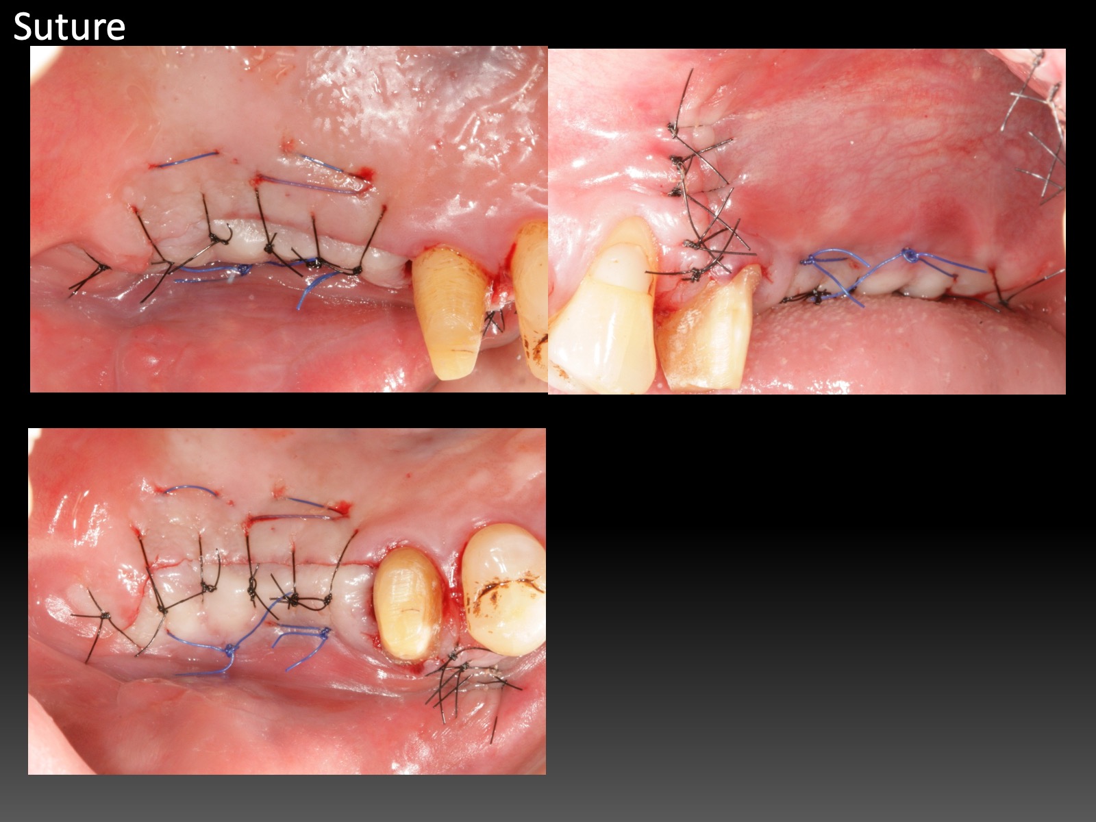
固定的關鍵,這幾年我發現,是縫針。因為有舌頭會移動,空間小,不易操作,而且進針、取針時機很短。縫針找1/2彎度,短如10mm,短進短出,要快,沒有多餘時間再找針頭。針還要利,故角針遠比圓針更好。個人經驗,縫針規格,3/8 彎度,13mm以上,也可以,但是會增加手術難度。短、勾、銳,很重要。

還有另一個固定的技巧。一開始graft容易滑動,用針進出graft,不容易固定。不如專注在cross mattress進出旁邊的骨膜上,利用縫線先將graft壓住。縫到尾聲再用針進出graft,做最後固定。

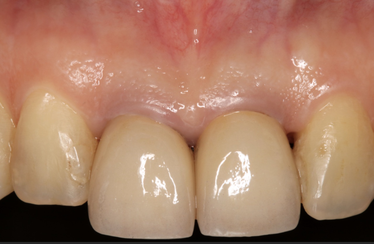
2024/5/26 更新:新增七個月追蹤,特寫MGJ真實位置