藍正邦 Cheng-Pang Lan, DDS, MDSc

The Art & Science of Periodontics and Implant Dentistry

Menu

Skip to content
  • Home
  • Art
  • EBM
  • Perio
  • Implant
  • About

Tag Archives: Intrabony defect

Guided Tissue Regeneration – Case F

Posted on September 7, 2013 by drlan

Leave a comment

Guided Tissue Regeneration – Case E

Posted on September 7, 2013 by drlan

Leave a comment

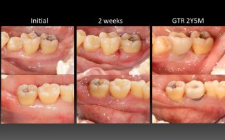
Guided Tissue Regeneration – Case D

Posted on September 7, 2013 by drlan



Leave a comment

Periodontal Regeneration – Case C

Posted on September 6, 2013 by drlan



2 Comments

Guided Tissue Regeneration – Case B

Posted on September 6, 2013 by drlan



全螢幕擷取 201396 下午 050859

Leave a comment

Guided Tissue Reneration – Case A

Posted on August 28, 2013 by drlan

GTRA

GTRA

GTRA

Leave a comment
Blog at WordPress.com.
  • Subscribe Subscribed
    • 藍正邦 Cheng-Pang Lan, DDS, MDSc
    • Join 28 other subscribers
    • Already have a WordPress.com account? Log in now.
    • 藍正邦 Cheng-Pang Lan, DDS, MDSc
    • Subscribe Subscribed
    • Sign up
    • Log in
    • Report this content
    • View site in Reader
    • Manage subscriptions
    • Collapse this bar

Loading Comments...