前一版,20 Years of GBR
2009年,當年我開始進入植牙領域,初學的我,還記得書中很有幫助的部分,例如:自體骨分類、HA/TCP的比例分配研究、手術切線設計、如何區分補骨難度等等。這本書的前半段,提供骨生成的機轉,再生膜在骨缺損的角色以及介紹不同骨粉的差異,有許多漂亮的組織彩色圖片。書的後半段,就是臨床醫師喜愛的手術照片,其中,印象深刻的章節,就是Implant placement with simultanuous GBR。從篩選案例、材料選擇、補骨步驟,每項都蠻詳細的。而且,章節最後,都有很豐富的文獻,適合專科訓練醫師找資料的教科書。
第三版與第二版有何不同?
第三版的30年GBR,從261頁增加到340頁。章節也從九章增加到十四章,大致上,增加了前一版沒有的拔牙窩形變、立即植牙、前牙軟硬組織美學、植體周圍炎、補骨併發症。還有減少Bone Block的內容,字型也改成容易閱讀,不易疲勞的襯線體。
Daniel Buser的頭銜,成為榮譽退休教授Professor Emeritus了,此外,從作者群裡面可以發現,這本補骨經典,就是瑞士伯恩大學三十年來的研究精華,尤其是前面五個章節。看得出來,Buser團隊花了大量的資源,研究自體骨背後的成骨機轉。
以臨床醫師的角度來看,比較重要的一篇Miron 2011年,比較四種不同方式取自體骨,收集suction留下來的碎骨、超音波骨刀取骨、刮骨刀、磨骨器。結果為刮骨刀與磨骨器所取得的骨頭細胞活性最高。
Janner 2017年,比較動物前牙補骨效果,使用牛骨、自體骨、放再生膜、不放再生膜的排列組合,同時植前牙,想當然,有放再生膜的組別,新成骨一定比較好。這篇分組完整,組織學也很漂亮,雖然組別差異大,但整體趨勢也有一定參考價值。
另一個我發現的新主題,Buser團隊將刮下來的自體骨,混合病人自己血液,再加上等張溶液,成為新的名詞Bone-conditioned Medium,研究了不少分子生物的機轉、細胞傳遞訊息。其發現取骨後,TGF-B1在四十分鐘內,以及BMP-2在六天內,持續釋放,與影響成骨細胞的分化與成熟。雖然這完全不是診所臨床醫師能吸收得進去,但可以看到Buser團隊,對找尋自體骨背後科學證據的態度,同時自己使用自體骨時,也有相對應的安心感。
●第四章提到拔牙窩的改變,這也是這一版新增的章節。這邊簡單整理拔牙後,硬組織、軟組織的變化。篇幅不長,對年輕醫師,想簡單看一篇統整文章,可以從這裡開始。
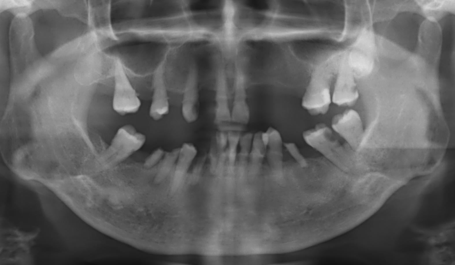
●第五章,新增一整章節,整理影響補骨的因素,從植體選擇、植體種植位置、缺損區分類,許多前一版沒有的精美卡通圖,非常詳盡。光是水平骨缺損,就詳細分類了三大項,七小項,挺複雜的。其實說穿了,這邊分這麼多種,好像很難,其實背後的含義,就是將難度區份成不同等級,彼此使用的材料、手術技巧、介入時間與思考,是不一樣的。第六章的植牙時機,也是同樣在ITI Treatment Guide可以看到。

而這邊有一段很有意思:提到若在已癒合的區域放植體,若buccal bone厚度小於1.5mm,會發生缺血性壞死,avascular necrosis,強烈建議磨除薄的骨頭到1.5mm,再用材料補起來。這邊引用的文獻,是NEJM 1992年早期的骨科文章,及數篇老文獻。以推論的方式,推測植體薄的骨版的變化,並不是直接證據,另外也沒有提到磨除後補骨成功報告,使用這樣的強烈建議文字,恐會誤導初學醫師。
●第七章,澳洲學者Stephen Chen撰寫的立即植牙,同時也有詳細的立即假牙的照片。挑選案例也是用最嚴謹保守條件:厚的牙肉、幾無缺損的骨板、無感染狀態來製作。對我來說,雖然自己不常製作植體假牙,但也對假牙製作的照片,其精緻詳細程度,讚嘆不已。
●第八章就是Buser最著名的Early implant placement in the esthetic zone,完整分類風險等級、挑選案例、單顆植體、多顆植體的前牙手術考量。更加入了超過十年的術後追蹤。我認爲Buser在這塊領域的貢獻非凡,是整本書的精華所在。

●第十一章垂直補骨,前一版的作者Massimo Simion,改成了Istvan Urban,果如我2016年判斷的,Istvan Urban已成為垂直補骨的接班人,連主編Buser也這麼認為(笑)。這邊寫的是簡易版,若朋友有興趣詳細的垂直補骨,直接看Urban寫的兩本垂直補骨書即可,我這邊也有第二本Vertical 2心得。但是十一章關於頰側與舌側的皮瓣鬆弛,寫得簡潔扼要,值得詳讀。
●第十二章的作者,是有名的Sascha Jovanovic,主題寫前牙區的軟硬組織補骨。看到Jovanovic的名字,其實滿期待的,不過內容只有很簡單的七個案例分享,照片過於簡潔且文字分析少,非常可惜。如果我是主編,應該會退稿,邀請更多醫師一起完成,會更完美。
●第十三章植體周圍炎,邀請到這個領域文獻非常多的Frank Schwarz。案例分析、缺損分類、清創植體步驟,都有。很認同Schwarz治療植體周圍炎的想法。簡單說,若決定留下植體,骨再生機率低的植體表面,會做implantoplasty,剩下的可再生區域,再補骨之。不過我發現這章的案例,很多假牙型態,對牙周清潔不易,似乎Schwarz在無法改變假牙的狀態下,進行補救手術,有點可惜。若能有夠多長期追蹤,這樣的疑惑會小一點。
●第十四章補骨病發症,Isabella Rocchietta當年待過Massimo Simion的團隊內,有不少不可吸收再生膜併發症的處理經驗,這篇雖然文字多,但寫得很完整。Rocchietta的能力很強,把文獻整理非常好,從手術前就要考量的因素,到手術中,手術後都有。同時也有新的不吸收再生膜暴露的處理分類,自己看了蠻有收穫,同時,從最後的引用文獻,再回推思考為何Rocchietta引用?很有意思。

總結
或許每個醫師的臨床經驗、知識含量,閱讀文獻會有不同解讀,不同感受。
整本書對我來說,最有價值的地方,是前半本自體骨的文獻,讓我了解使用材料背後的科學證據。還有經典的Early implant placement、植牙時機分類、骨缺損分類,這塊讓我有機會在台大教學時,整理比較好的世界觀,幫助跟年輕醫師講解,讓初學者比較容易進入狀況。也對自己在臨床實戰,整體大局的思考也會更完整。







































