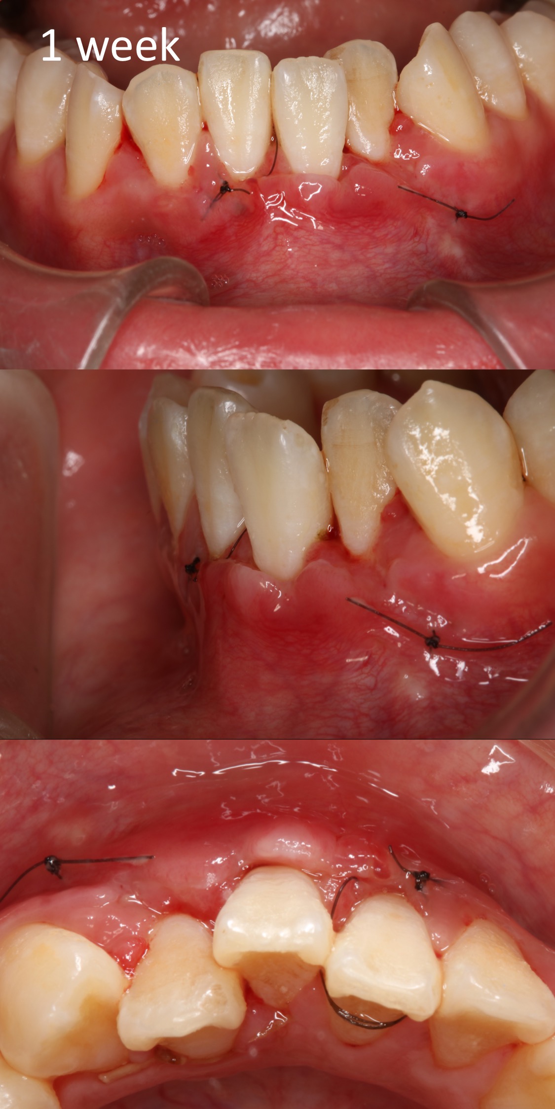
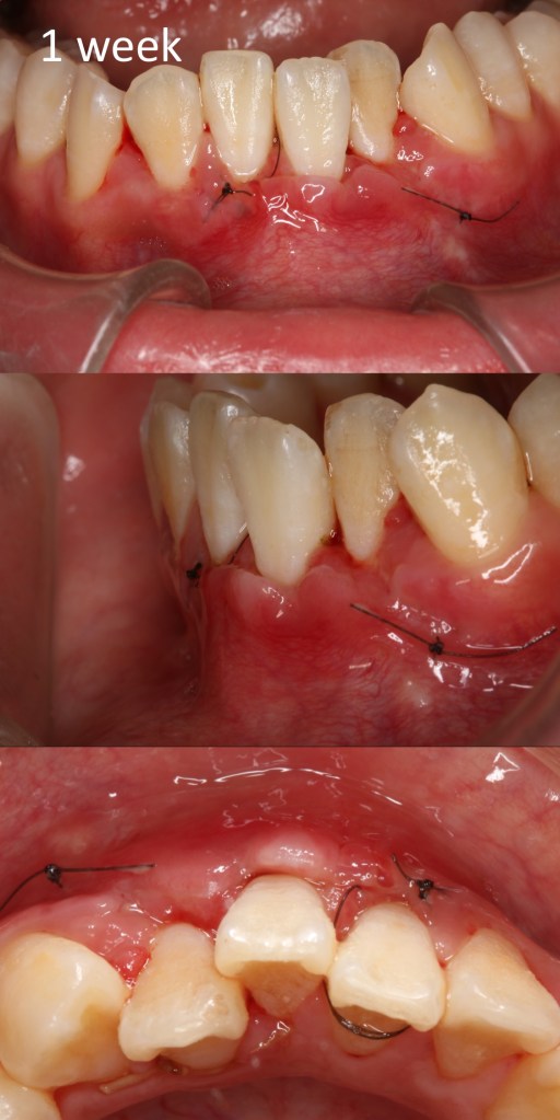
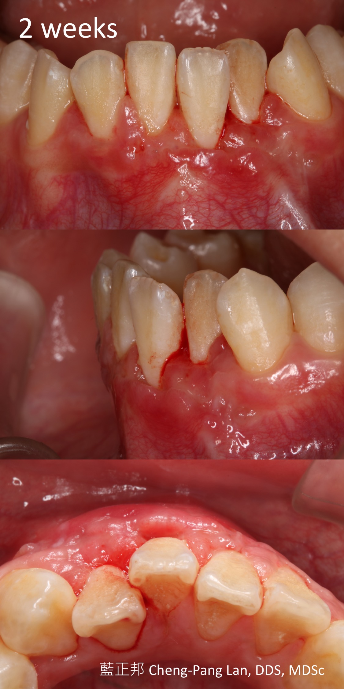
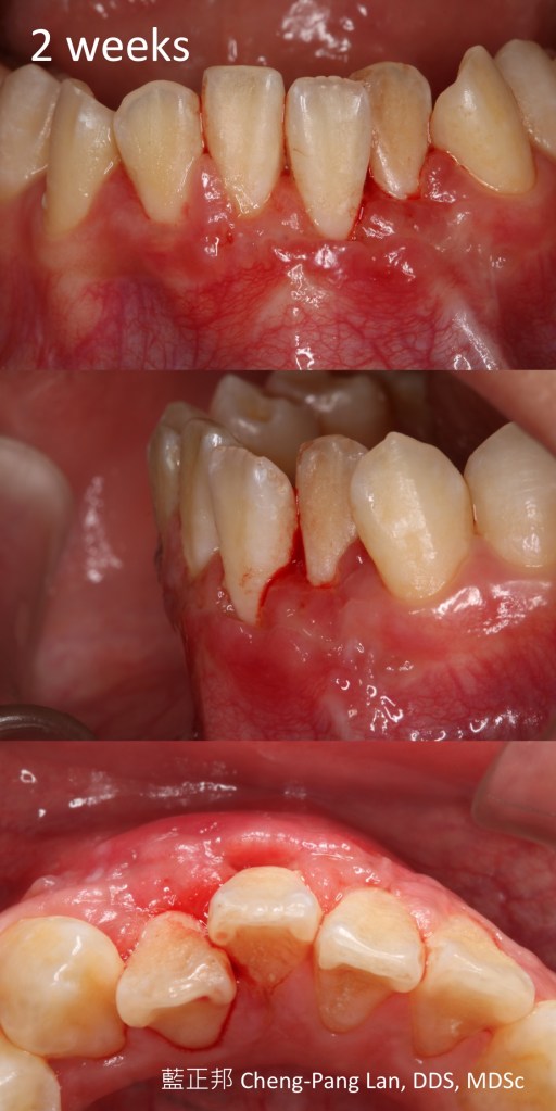
Non-surgical Therapy – Lower anterior teeth
Root Coverage – Coronally Advanced Flap with Connective Tissue Graft -Lower Anterior Teeth – Case D
My First Implant Since 2010
這是我第一支人工植牙,2010年,在台大醫院植入的。很幸運的,即使轉換工作,病人還是跟著我,很固定的每半年回診,將近十年,都很穩定。
剛開始非常嚴重破壞,拔除後自行復原到骨質完整。進行植牙手術時,單純不需補骨,角化牙齦也足夠,非常適合初學者的自己。

學到什麼?
- 回顧這個案例,第一次手術時,以骨頭為中心,植入植體,但送去假牙專科完成後,才發現偏向舌側。因選擇螺絲開口,牙冠內側並沒有燒瓷,美觀上有點可惜。
- 若一開始拔牙同時補骨,或許可以得到較多的頰側骨,植體角度就不會偏舌側,牙冠製作或許就可以有更多燒瓷空間了。但或許會再修補角化牙齦,手術次數增加,先補骨也不一定是最好的方案。
- 或是植體放置位置再靠頰側些,露出些許螺紋,同時補骨也是一個方案。
- 植體後面的大臼齒,即使牙周控制之下,無牙周囊袋,發炎指數還好,還是在一年半後撐不住。在近十年後回顧這塊,還是覺得有點不可思議。
- 另一個九年後的小發現,沒有對咬的右上第二大臼齒,幾乎沒向下移動,竟然維持不動至少七年,沒拍照是很難發掘的。
長期追蹤
能寫這篇,其實是要紀念自己第一個植體案例,還能看到近十年後的樣子,穩定而健康,特別有意義。加上每次回診,都有再創紀錄的興奮感。
行醫的路上,感謝病患的付出,一起度過難忘的旅程。
Tension-free Flap Release
為何要拉緊?
如果易出血?
由淺到深
切勿急躁
初學者,有什麼建議?
克服恐懼
註1: Marco Ronda在2015發表的這篇文章,有提到淺切對周圍組織破壞較小。
書評 Implant Therapy. Clinical Approaches and Evidence of Success. 2nd Edition
平常都寫閒書心得,今天來寫新出版的植牙書。
Implant Therapy. 2nd edition. Editor Myron Nevins & Hom-Lay Wang
今年參加六月的波士頓ISPRD時,買下這本。起初看到目錄,每章都是該領域最佳醫師之作。很少有專業書讓我看這麼詳細,這裡列出自己比較喜歡的章節:
Chapter 1 . Save the Tooth or Place an Implant?
一開頭就很驚人的放了十二個的二十年追蹤的案例,最久的還放追蹤五十年全口X光片,想必是八十歲總編輯Myron Nevins 才能拿出的案例,這些能夠持續追蹤這麼久,Xray 又很清晰,能有這樣的工作團隊,很不容易呢!

這裡放了一個極特殊的三十年案例,作者稱這叫做「異數」Outlier (p.6)
Chapter 13 & 14. Sinus Elevation
這兩章內容非常豐富,Stephen Wallace & Tiziano Testori兩位提供超多手術方法,Piezoelectric, DASK, Reamer & Hydraulic technique。Lateral & Crestal window、甚至還有Palatal window,真令人驚訝。另外,還有許多難症與特殊案例,看完收穫頗多。

圖片是為了拯救問題而嘗試的Palatal Window技術(p.238)
Chapter 18. Vertical Ridge Augmentation with Advanced Flap Design
雖然Istvan Urban 2017年已經出了一整本垂直骨增高的專書,Urban 在這裡並沒有舊文改寫。他拿出之前沒看過、最新的案例發表。看得出這幾年Urban對於難症處理的調整與進化,連最厲害的高手都在自我挑戰,很佩服呢!

Urban新版的再生膜,而且是難度較高的拔除後立即release flap加Vertical GBR(p.334)
Chapter 22. Implant abutment Junction : A Crestal Bone and Soft Tissue Determination
Luigi Canullo 以往做了不少platform switch study,這整篇章節又加入了我沒看過的one abutment, one time concept。而且引用文獻幾乎都是自己的研究。讓早期Canullo從分析植體硬組織變化到現在研究abutment與軟組織的改變。我覺得若Luigi Canullo跟Tomas Linkevicius 一起合作寫文章應該蠻棒的。<註>
Chapter 26. Regenerative Protocol to Treat Peri-Implantitis

Peri-Implantitis bone loss完整的長滿。還有Re-Entry照片(p.467)
看完整本書,裡面案例的難度都很高,其實這本不適合植牙初學者。書名不應只是Implant Therapy,而是「Advanced Implant Therapy」,每章節作者都是在該領域專研十年以上的醫師,他們第一線面對難症,並仔細地記下手術過程,整理、發表文章分享,甚至再用科學方法證實有效,分享給全世界。
此外,作者群還有台灣之光、我的老師:林靜毅醫師。如果沒去波士頓聽ISPRD,或有去,但同時段衝堂沒聽到的朋友,這本書翻翻看蠻好的,因為這本有十七位作者出自今年ISPRD講者,是一本與這場盛會重疊度高的書。
還記得2007年,剛踏入牙周植牙領域,自己很重視實證醫學,很多「技術文章」都看不上眼,只認為這種沒經過臨床隨機對照實驗的文章,沒有價值。實證醫學金字塔中,最佳頂端實證當然是systemic review article ,多家醫學中心合作,增加母群體數量,排除各種因素,降低bias,得出的結論當然參考價值最高。但是我們只念review article嗎?金字塔底層的病例報告不能相信嗎?當然不是。
自己隨著年紀增長,經過幾年臨床經驗,面對第一線病患,面對許多決定,我們必須幫病患選擇最佳方案,找尋最佳科學證據之外,同時也要突破治療邊界。我認為金字塔頂端最佳實證只是平均值而已,病患百百種,第一線醫師總是要面對不是平均值的難症,難以解釋的現象。而盡力降低風險,努力提升品質才是我們真正需要的態度。
而這本書的案例,從Save the Tooth、Short Implant、GBR、甚至Zygomatic Implant、Peri-Implantitis 都能看到這些作者的自我要求與追求卓越的精神。
最後,其實寫這篇心得的原因,是當時在會場厚著臉皮找Myron Nevins聊天並請他幫忙書上簽名,回台灣後寫點心得才不會對不起自己XD

三年後再跟Myron Nevins合照與書上留言
<註> Tomas Linkevicius 著名的研究,是發現軟組織厚度跟植體早期骨吸收有關的學者。後來提出Zero Bone Loss Concept,也在2019出了同名書籍。
Posterior Superior Alveolar Artery and Sinus Membrane Perforation & Repair during Sinus Elevation
這次的鼻竇增高手術,遇到不少狀況。
鼻竇膜莫名其妙發現破洞,還在少見的遠心側。
此外,術中也看到可愛的PSAA小動脈。
這些珍貴畫面都記錄下來了,手術也順利完成。
這幾年來,慢慢覺得手術團隊像是交響樂般,醫師、第一助理、第二助理、病患之間的相互配合,譜出優美流暢的手術。
還好診所有很強的助理,這麼多狀況,都沒滿頭大汗,讓我安全下莊,真的很感謝她們的幫忙。







No More Mr.Nice Guy – 書評
這本是我這半年來看過最精彩的書,看過至少兩遍,而且作者的網站我也買了許多Podcasts 與課程來聽。
作者網站 www.drglover.com
如何知道本書?
Mark Manson 提到,如何對自己誠實?如何誠實地行動與生活?曾經聽過Mark的 Podcast,若要推薦相關書籍,No More Mr.Nice Guy是其中一本。
剛好四月去曼谷潑水節時,Kinokuniya書店看到,還比網路博客來便宜,立馬帶回台灣。而且這本實體書排版比電子書還好,建議看實體書,速讀抓重點比較容易,畢竟英文書沒有幾人會想要逐字看完,實體閱讀會比較快。
有什麼重要的概念?
兩項重點。
第一,Covert Contract
作者用了Covert Contract這個字眼,真是一絕,Covert是隱藏、秘密,不開放之意。Contract又有條文、合約、具法律意涵。那麼到底是什麼?
好人總是希望別人認同自己,常常將自己的需求隱藏起來,心中認為,我對別人好,其他人就會認為我是好的,進而認同我、接受我、喜歡我。最後忽略自己真正的需求,發現為什麼我什麼都做了?別人還是對我不好?
好人總是隱藏自己的缺點與錯誤。
好人總是將別人的需求放在自己前面。
好人總是犧牲自己,成全他人,但是心中卻認為自己是受害者。
作者說明,這樣的好人根本不誠實,活在別人的認同之下,忽略真正的自己,最後只能抱怨、憤怒、怨懟,殊不知問題在自己身上。
第二,問題導向閱讀
我自己是一個用問題刺激思考的人,這本書每一段落都有小方匡的問題,挑戰自己的思維,不會只讓讀者一路讀下去,但沒有思考,也不容易體會。
每個方匡內的練習與問題,都讓我重新審視,我該怎麼做?我該怎麼想?我為什麼沒想過這個問題?
如何喚醒自己的好人症頭?
- 追求自己的夢想與熱情
- 突破自己的恐懼
- 正視自己的需求
- 認清現實面,接納自我缺陷
- 擁有自己的社交圈
- 設定情緒與個人界線
還有許多項目,看原文書寫中文書評很難啊,難怪綠角財經筆記這麼猛,綠角都從美國Amazon買書,自己看完寫書評貼上來,好強XD
看原文書會不會很難?
本書用字簡單,薄薄的不到兩百頁,排版也很清楚,每章節的大標題的模式也很清晰,只看目錄也可以很快速抓到重點,快速翻閱,甚至只看小方匡內的問題,就有收穫。
很多思想家都是英文作品,有中文當然看中文。英文書就找簡單的開始閱讀。購買前,上網看一下書本內容文字是否艱澀難懂。就算有點難度,就當作英文閱讀練習就好。我自己是把閱讀當靜態的消遣活動。
還是不想看原文書,怎麼辦?
有人製作濃縮版重點影片,雖然沒有中文字幕,開英文字幕花幾分鐘速食一下。(2021.5.30.更新影片連結)
若想要抓到核心概念,建議還是看原文書,一手資訊還是比二手有價值,背後需要自己體會。
下面是你購書我沒回饋連結
https://www.amazon.com/No-More-Mr-Nice-Guy/dp/0762415339
Reclaiming Personal Power
The Iron Surgeon
鐵人比賽除了體能鍛鍊,更是訓練心理素質很好的機會,而且對需專注力、長時間的精細手術,同樣有幫助。
想一下,有沒有以下的經驗:
「做手術,後半段想趕快結束?草草了事?」
「病患撐不下去了,自己專注力也下降,趕快縫一縫就好。」
牙周植牙手術不像其他治療,一旦開始,只能當下完成,不容易分段處理。而且每一次手術的背後,似乎內心有小聲音出現,運動的時候也一樣。
「愈來愈喘了,看到旁邊的隊友也用走的,那就慢下來吧。」
「雙腳快抽筋了,怎麼辦?」
都是同樣的聲音,身體與心理的掙扎,現實與夢想的差距。
不過,只有自己最清楚,該如何回答這問題
「我有沒有傾出全力?」
如出一轍
除了盡力執行,一台順暢的手術和一場痛快的比賽是一樣的。
怎麼說?
手術前準備,包含資料搜集,構思手術內容,手術可能突發狀況,需要的材料器械。比賽前的體能訓練,規劃生活作息、飲食習慣,過往比賽經驗,要如何調整自己,這些都需要考慮。
等到真正上場,手術或比賽當下團隊合作,如何維持專注力,突發狀況如何調適,心態如何保持正面,保留體力做最後的衝線等等
手術或比賽結束,分析資料,檢討自己,推測癒後可能性,病患若有特殊反應,過往經驗和文獻是怎麼說的。或是與同好討論如何提升表現,計畫下一次比賽或手術。
說穿了,就是好好的:計畫、執行、檢討。
Do you wana be the iron surgeon?























