藍正邦 Cheng-Pang Lan, DDS, MDSc

The Art & Science of Periodontics and Implant Dentistry

Menu

Skip to content
  • Home
  • Art
  • EBM
  • Perio
  • Implant
  • About

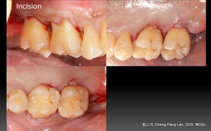
Root Amputation – Case B

Posted on October 13, 2013 by drlan

Share this:

  • Share on Facebook (Opens in new window) Facebook
  • More
  • Email a link to a friend (Opens in new window) Email
  • Share on X (Opens in new window) X
  • Share on Pinterest (Opens in new window) Pinterest
  • Share on Tumblr (Opens in new window) Tumblr
Like Loading...
This entry was posted in Treatment of Furcation-Involved Teeth and tagged Furcation, Root Amputation. Bookmark the permalink.

Post navigation

← Root Amputation – Case A
Vertical Ridge Augmentation – Case A →

Leave a comment Cancel reply

Categories

Tags

Autogenous bone Collagen membrane Evidence-based medicine GBR GTR Horizontal Ridge Augmentation Intrabony defect Lateral window Sinus lift Xenograft
Blog at WordPress.com.
  • Comment
  • Subscribe Subscribed
    • 藍正邦 Cheng-Pang Lan, DDS, MDSc
    • Join 28 other subscribers
    • Already have a WordPress.com account? Log in now.
    • 藍正邦 Cheng-Pang Lan, DDS, MDSc
    • Subscribe Subscribed
    • Sign up
    • Log in
    • Copy shortlink
    • Report this content
    • View post in Reader
    • Manage subscriptions
    • Collapse this bar

Loading Comments...

    %d