因為幫學會上課,藉由這次機會,整理了五個長期案例,至少八年到十二年的追蹤。觀察照片,移植角化上皮,經過長年觀察,粗略估計,一年後就很穩定,且多年後,萎縮量沒有很多,蠻平穩的。
以前台大老師有提過,時間久了,可能會因為肌肉層附連拉扯,即使補的寬度多很多,前後MGJ的連線還是會呈現一直線,原有多補的會縮一些回去。不過,我自己的案例,例如Case D,經過九年後,角化上皮還是很寬,呈現前後連線不是很一致的狀態。有這些發現,其實蠻有意思的~
讀者若有些想法或經驗分享,歡迎在文章最後面留言。
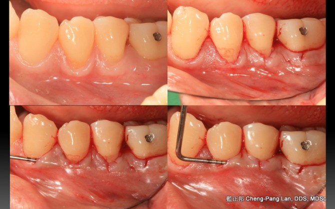
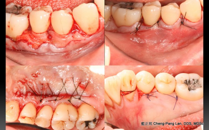
GBR的舌側提升,會讓內側角化組織變少,或是,案例即使沒補骨,原本就舌側角化組織缺乏。這幾年自己也想解決這個難題。試了幾個不同做法,有一些心得。
一開始的Partial Thickness皮瓣移動,只須刀片劃開表層,其餘用鈍器械推下去。跟Tension free flap release這篇的手法類似。意即,切得少,推得多。
固定的關鍵,這幾年我發現,是縫針。因為有舌頭會移動,空間小,不易操作,而且進針、取針時機很短。縫針找1/2彎度,短如10mm,短進短出,要快,沒有多餘時間再找針頭。針還要利,故角針遠比圓針更好。個人經驗,縫針規格,3/8 彎度,13mm以上,也可以,但是會增加手術難度。短、勾、銳,很重要。
還有另一個固定的技巧。一開始graft容易滑動,用針進出graft,不容易固定。不如專注在cross mattress進出旁邊的骨膜上,利用縫線先將graft壓住。縫到尾聲再用針進出graft,做最後固定。
2024/5/26 更新:新增七個月追蹤,特寫MGJ真實位置
人生第一篇學術文章,人生第一次英文論文。
雖然只是簡單的獎狀,雖然得獎的人不只我一個,但是當收到得獎訊息的興奮感,久久不去,為什麼?
2013年,看到老戰友在別科進修寫的文章,一時輸人不輸陣,也來一篇的衝勁。在思考過程中,大膽地將老師準備好的題材放下,嘗試寫下有興趣、有挑戰性、台灣人發表稀少的牙根覆蓋病例報告。一開始很順利把文章寫完,不過正如投稿過程,初期老師嚴格把關,後期編輯不吝指導,逐漸成形。
當然,老師最後還是不滿意,這種國外處處都是的文章,已經沒有獨創性。剩下什麼?文章主軸只能敘述病例,討論病例,無法提出很前瞻的看法、或是歸納出可靠的術式。
最後,還是告訴自己,正如所有年輕牙周人一樣的動機,考專科醫師的前提,要有一篇文章。此外,不過就是一位年輕醫師,在牙周病訓練時,為了解決病人問題,將過程記錄下來而已,那麼,就投出去吧。
組織英文論文,剛好重新複習林靜毅醫師的課程,大量文獻回顧,引用每一reference,必定讀過oringial article,而非abstract。從此整理出70到90年代,哪位醫師、哪篇文章最具有獨創性,仔細咀嚼文獻,其中文字之美,想法之新,手術之巧,這正是我們最需要的。
和編輯群書信,一開始收到問題,看似質疑,但是卻是不同醫師的看法,點出自己缺乏的論點。此外,回覆編輯,必須再寫一篇小論文來補充自己的論點,其中和編輯群的邏輯訓練,比起學生坐在台下聽課再考試,成長快速十倍。
感謝的人真的很多,作者群裡面是貢獻最大的一方。另外老戰友享艗,沒有你分享的文章,我也不會有衝勁。
2012台大醫院的同仁們
另外,特別感恩長庚醫院的老師,朱毓仁醫師、陳朝寶醫師、潘惠玲醫師、呂佳芳醫師、周庭安醫師、王研力醫師、淑萍、淑雅、錦芳、妙姐、淑媛、佳芬、2008年第一台牙根覆蓋手術就是這樣完成的,沒有第一個成功案例,就沒有這篇文章。況且,第一個成功案例,是本網站點擊率最高的喔。
最後附上2009長庚醫院的大合照。
My first case of root coverage in 2008
Recipient Site: Harris’s technique, 1992
Donor Site: Bruno’s technique, 1994
