技工所:柏創牙體技術
快速導覽
06:12 長庚醫院學習歷程
11:44 台大醫院學習歷程
12:23 牙周再生手術的價值
15:47 牙齦移植手術的好處
17:52 鼻竇增高手術的效果
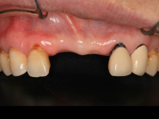
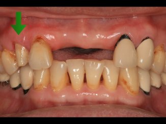
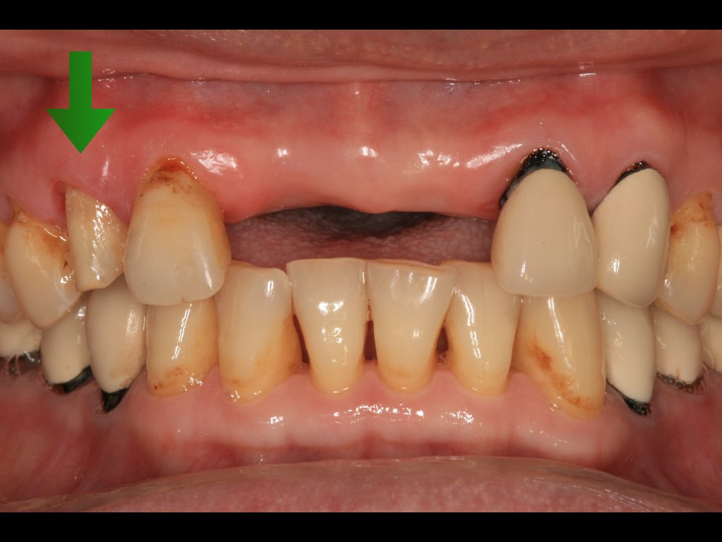
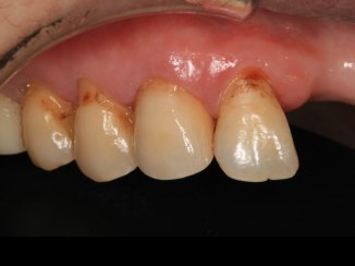
19:57 為何要口內攝影?
21:39 為何要體貼病人?
23:48 診所的學習歷程
25:20 口內攝影的價值
30:12 牙周病治療的市場反應
36:36 團隊合作的重要
37:55 Take Home Message
診所營運已經三年,助理們進步得很快,趁這次農曆年前,第一次幫診所助理上課
藍正邦,一位熱愛攝影、閱讀、教學的小鎮牙醫,於2014年初,分享自我學習歷程並希望助理們能專注於專業知識與團隊合作,以提升診所服務價值。
課程對象:牙醫助理
如果需要影片連結,請留言給我