Tag Archives: Root coverage
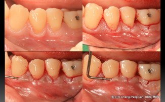
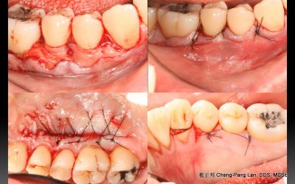
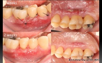
Root Coverage – Coronally Advcanced Flap with Connective Tissue Graft- Case B
Root Coverage – Double Pedicle Graft – Case A
My first case of root coverage in 2008
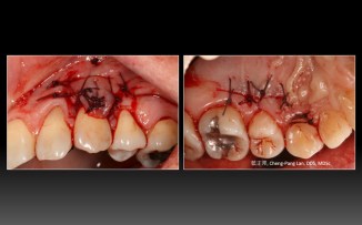
Recipient Site: Harris’s technique, 1992
Donor Site: Bruno’s technique, 1994
















